Dental Radiographs
It's really important that your little one gets radiographs (X-Rays) as part of their dental exam. These X-Rays provide a whole lot of valuable information that just can't be found any other way. Without them, it's possible that some dental issues may go unnoticed.
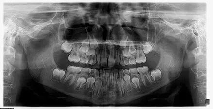
It’s amazing how much more radiographs can tell us about your child’s oral health beyond just cavities. Radiographs can give us important information about the emergence of teeth, diagnose bone diseases, assess an injury’s impact, or plan for orthodontic treatment. This means that we can detect and treat conditions that we cannot see with the naked eye, leading to a smoother and more cost-effective experience for you and your child.
The American Academy of Pediatric Dentistry encourages parents of children with a higher risk of tooth decay to have their children undergo radiographs and examinations every six months. Nonetheless, these types of radiographs are typically only requested from pediatric dentists once a year. Approximately every 3 years, it is a good idea to obtain a complete set of radiographs, either a panoramic and bitewings or periapical and bitewings.
Pediatric dentists take extra care to ensure that their patients are exposed to minimal amounts of radiation during dental X-ray examinations. In fact, the amount of radiation is so small that the risk associated with it is negligible, especially compared to the risk of an undetected and untreated dental problem. To make sure your child is well protected, we use lead aprons and shields as well as high-speed film and appropriate shielding. The equipment itself is designed to filter out unnecessary x-rays and focus the beam on what is needed. When it comes to radiation exposure, you can rest assured that your child is in safe hands.




