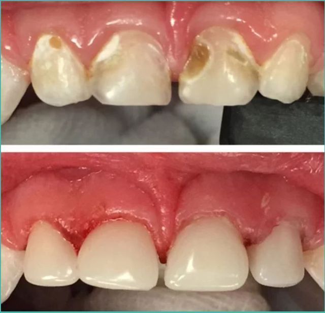
Several specific types of bacteria that live on the teeth cause decay. Consumption of sugary foods can cause tooth decay, as bacteria use the sugar as an energy source to produce acids that can erode the enamel, causing an infection in the tooth. This infection is called decay. No longer referred to as simply "infant tooth decay" - Early Childhood Caries (ECC) is caused when babies drift off to sleep with a bottle of milk, formula, or juice still in their mouth. Babies are not able to swallow the pooling liquid in their mouths. Because the sugar in formula, milk or juice stays in contact with the teeth for a long time during the night or at nap-time, the teeth can decay quickly.
Here are some tips to help avoid early childhood cavities:
- Brush your baby’s teeth at least twice a day.
- Put your child to bed with a bottle of plain water, not milk or juice.
- Stop nursing when your child is asleep and wipe the teeth with a clean washcloth.
- Try not to let them walk around using a bottle or sippee cup of milk or juice as a pacifier.
- Start to teach your child to drink from a cup at about six months of age.
Plan to stop using a bottle by twelve to fourteen months at the latest. - Don’t dip your child’s pacifier in honey or sugar.
- Read, sing or rock your child to sleep as an alternative to continuous feeding




